Cabinet d'orthodontie enfant et adulte du Dr Lettermann Véronique
Orthodontiste spécialiste qualifiée
4-16 avenue du Général Leclerc, 92260 FONTENAY-AUX-ROSES
+33 1 46 61 10 67
Cabinet d'orthodontie enfant et adulte du Dr Lettermann Véronique
Orthodontiste spécialiste qualifiée

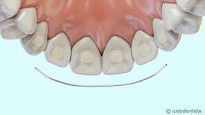
Fil de contention


video-play-icon

Articles similaires

Création par Webdentiste

Connexion